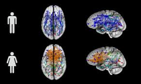
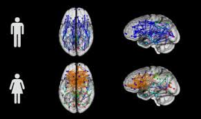
Vrouwen hebben een ander brein dan mannen. Het is in het nieuws. Een onderzoekster is er op gepromoveerd. Wij hebben een kleiner brein, maar het is wel veel actiever. Ons hersenpannetje maakt meer connecties, dan de mannelijke veel grotere pan. Of is het een hol vat? Maakt de man zijn connecties uitsluitend middels zijn kleine uitwendig gedragen hersentjes?
Heks beweert het al jaren: Meisjes krijgen verkeerd onderwijs aangeboden. Wij krijgen les, alsof we kerels zijn. En dat werkt niet. Zo heb ik mijn hele middelbare schooltijd met wiskunde getobt. Tot ik het goddank kon laten vallen.
Als een docent een formule op het schoolbord schreef, van zus is zo min dit of dat gedeeld door hutsekluts, bijvoorbeeld de zogenoemde abc-formule of ‘het kanon, dan wilde ik weten waarom. ‘Daarom.’ Alsof ik mijn vader hoorde!
In de tweede klas kreeg ik een docent, die aan meisjes niks voor de tweede keer uitlegde. ‘Jullie snappen het toch niet,’ beweerde de oetlul. Voor jongens nam hij die moeite wel overigens. Zelfs als ze er de ballen van snapten of als ze een hele domme vraag hadden gesteld…..
‘Je wilt alleen maar mee met de excursie naar het Evoluon in Eindhoven,’ sneerde dezelfde docent, toen ik aangaf interesse te hebben in de computercursus. Een geheel nieuw fenomeen in die tijd. Begin jaren 70.
Ik had er echt interesse voor, maar werd toch niet toe gelaten. Omdat ik een meisje was.
Later is bij diverse intelligentietests gebleken, dat ik ruim boven VWO niveau scoorde op dit vak. Ik deed het zelfs zo goed, dat ik talloze volledig betaalde trajecten aangeboden kreeg, om me te laten omscholen tot IT specialist bij diverse instituten.
Ik ben uiteindelijk systeembouwer en ontwerper geworden. Supersaai vak. Leuke opleiding. Lekker tussen de kerels…..
Weer later ontdekte ik Heilige Geometrie. Heerlijk, heerlijk. Balsem voor mijn vrouwelijke brein.
Mijn wiskundige vermogens floreren echt, als ik de materie heel abstract aangeboden krijg. Onderwijs vanuit het geheel naar de diverse delen werkt voor mij veel beter. In tegenstelling tot ‘het is gewoon zo en wel daarom’.
Discrimineren mag niet. Maar verschillen erkennen lijkt me alleen maar nuttig. Vooral voor ons vrouwen. Krijgen we eindelijk eens medicatie voor onze vorm van hartfalen, krijgen we eindelijk eens onderwijs, waar wij mee uit de voeten kunnen….. En ga zo maar door. Want we leven nog steeds in een mannenbolwerk, hoor!
Het mannelijk brein is groter, is gebleken uit onderzoek. Ja, zo’n hol vat neemt nu eenmaal veel plek in in je kop. Zo’n resonantieplek voor zeldzame diepe gedachte-achtige oprispingen vanuit de kleine uitwendig gedragen hersentjes…..
Ach, die uitwendige hersentjes, waar size opeens matters. Maar goed. Klaar met de flauwe grapjes.
Kunstenaars hebben ook al een ander brein. Meer grijze massa op cruciale plekken. Als je van tekenen houdt tenminste. Sterker visualisatie vermogen. Betere fijne motoriek….
Ik heb een heksenbrein. Chaotisch tot op het bot, uitermate creatief en een goed abstraherend vermogen. Daarnaast zie ik ze regelmatig vliegen, vooral ook mezelf op een bezemsteel. Ja, zo’n heksenbrein is best fijn.
Met m’n eerste geliefde kreeg ik altijd ruzie, als we memory speelden. Heks wilde, dat alle kaartjes kris kras door elkaar lagen, want dan won ik. Hij zwoor bij een statisch keurig veld. Dat paste beter bij de interne structuur van zijn hoofd.
Je kunt niet in elkaars kop kijken. We gaan er maar vanuit, dat de ander meer van hetzelfde is. Niets is minder waar. We hebben het hier over de verschillen tussen een mannelijk brein en een vrouwelijk. En een heksenbrein. En een kunstenaarsbrein. Dat is maar het begin.
Zoveel mensen, zoveel fietsbellen. Wel raar. Toch waar.

























Je moet ingelogd zijn om een reactie te plaatsen.